Cell Division is an open access, peer-reviewed journal, which publishes articles in areas including, but not limited to, molecular aspects of cell cycle control and cancer, cell growth, proliferation, survival, differentiation, signalling, gene transcription, protein synthesis, genome integrity, chromosome stability, centrosome duplication, DNA damage and DNA repair.
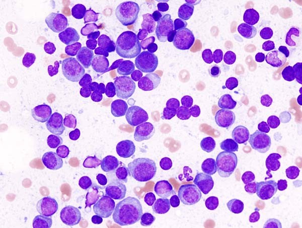
Featured article: Mitotic arrest affects clustering of tumor cells
Cancer cell aggregation is a key process involved in the formation of tumor cell clusters. It has recently been shown that clusters of circulating tumor cells (CTCs) have an increased metastatic potential compared to isolated circulating tumor cells.
Articles
-
-
circRNA_0001006 predicts prognosis and regulates cellular processes of triple-negative breast cancer via miR-424-5p
-
Sustained Shugoshin 1 downregulation reduces tumor growth and metastasis in a mouse xenograft tumor model of triple-negative breast cancer
-
Update of cellular responses to the efferocytosis of necroptosis and pyroptosis
-
MiR-146b-5p/SEMA3G regulates epithelial-mesenchymal transition in clear cell renal cell carcinoma
Call for Papers: Cell Division Control and Treatment
This Collection will discuss how the dysregulated progression of the cell cycle can contribute to cancer onset, development and resistance, and can be exploited to improve patient treatment.
Aims and scope
Editors-in-Chief
Dr. Jiřà Kohoutek, Masaryk University, Czech Republic
Follow
Annual Journal Metrics
-
Citation Impact
2.826 - 2-year Impact Factor (2021)
4.725 - 5-year Impact Factor (2021)
1.064 - Source Normalized Impact per Paper (SNIP)
1.889 - SCImago Journal Rank (SJR)
Speed
23 days to first decision for all manuscripts (Median)
48 days to first decision for reviewed manuscripts only (Median)Usage
159,993 downloads (2022)
30 Altmetric mentions (2021)